🦷 Stomatološka ordinacija Vršac – Dental Look
Tradicija, poverenje i vrhunska stomatološka nega od 1995. godine
Dental Look je stomatološka ordinacija sa dugom tradicijom, otvorena još 1995. godine u Vršcu.
Više od 20 godina pružamo kvalitetnu, savremenu i pouzdanu stomatološku negu, uz individualni pristup i prijatan boravak za svakog pacijenta.
Naš cilj je jednostavan:
da se kod nas osećate opušteno, sigurno i da iz ordinacije izađete sa zdravim i lepim osmehom.

U okviru stomatološke ordinacije Dental Look pružamo širok spektar dentalnih usluga:
kompletne stomatološke usluge
implantologiju
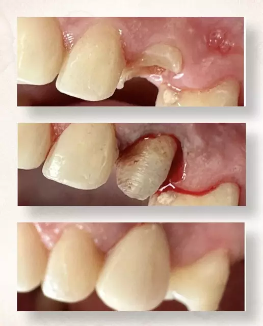
kompletnu oralnu hirurgiju
estetsku stomatologiju
lečenje i popravku zuba
redovne kontrole
čišćenje kamenca i poliranje
tretmane za zdrave i bele zube
rešenja za složene stomatološke probleme
Koristimo savremenu opremu i najsavremenije tehnologije, kako bismo obezbedili najbolju dijagnostiku i rezultate koji traju.
Naši stomatolozi imaju decenije iskustva u radu i poznati su po:
profesionalnom pristupu
preciznosti
stručnosti
strpljenju
pažljivom radu sa pacijentima svih uzrasta
Bilo da je u pitanju jednostavna intervencija ili zahtevniji zahvat, svakom pacijentu pristupamo pažljivo, smireno i potpuno posvećeno.
Posebno se ističemo u:
implantologiji
oralnoj i parodontalnoj hirurgiji
estetskim zahvatima i rekonstrukcijama
Koristimo proverene implant sisteme i radimo po najvišim standardima dentalne medicine.
Bez obzira da li vam je potreban jedan implant ili kompletna rekonstrukcija, kod nas ćete dobiti najkvalitetnije i najtrajnije rešenje.
Pored stomatologije, u našoj ordinaciji pružamo i usluge estetske medicine sa hijaluronskim filerima, uključujući:
povećanje usana
korekciju bora
poboljšanje kontura lica
Sve tretmane obavlja stručno i iskusno osoblje, uz maksimalnu pažnju i besprekoran rezultat.
Posebno vodimo računa o:
najmlađim pacijentima
starijoj populaciji
osobama koje imaju strah od zubara
Naš pristup je pažljiv, smiren i objašnjavamo svaki korak kako bismo otklonili nelagodu i strah.
Želimo da se osećate sigurno i opušteno tokom celog tretmana.
Uz tradiciju dugu preko dve decenije, savremenu opremu, stručan tim i individualni pristup, ponosno se izdvajamo kao jedna od najboljih stomatoloških ordinacija u Vršcu.
Kod nas možete očekivati:
najviši nivo stručnosti
pouzdane zahvate
dugotrajne rezultate
prijatan ambijent
potpunu posvećenost pacijentu
📅 Ponedeljak – petak:
⏰ 08:00 – 13:00h
⏰ 16:00 – 20:00h
Dođite i uverite se zašto nam pacijenti veruju više od 20 godina.
Ukoliko ste zainteresovani za proizvode i usluge firme, ostavite upit i dobićete odgovor u najkraćem mogućem roku. Upit će biti vidljiv na portalu
Jako profesionalno i ljubazno osoblje!
Oceni preduzeće i napiši svoj utisak o saradnji.
Laserska rejuvenacija lečenje stres inkontinencije Beograd Vračar
Kumanovska 23, 11000 Beograd, Vračar
Fizikalna medicina i onkologija Novi Sad
Bulevar Mihajla Pupina 25, 21000 Novi Sad
Najbolji neuropsihijatri Niš Medijana
Улица Иве Лоле Рибара 16А, 18000 Niš, Medijana
Izdavanje lekova na recept A blok Novi Beograd
Uroša Martinovića 7 lokal 4, 11070 Beograd, Novi Beograd
ANĐA
Preporuke
Jako profesionalno i ljubazno osoblje!