Dental Look posluje od 1995. godine u Vršcu. Već više od 20 godina radimo kvalitetno i postojano. O kvalitetu rada naše firme najbolje govore mnogi zadovoljni pacijenti.
Bavimo se kompletnim stomatološkim uslugama, posetite nas na adresi Anđe Ranković 15/1 i obezbedite sebi najkvalitetniju stomatološku uslugu.

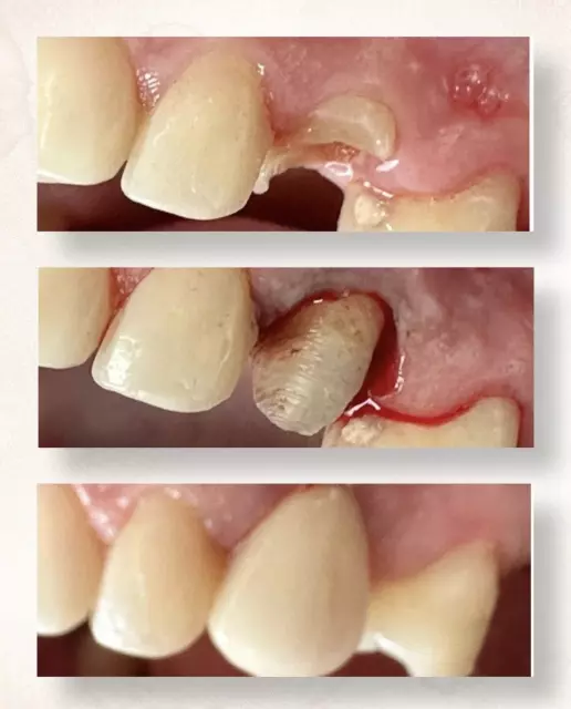
Kompletne stomatološke usluge u Vršcu su ono čime se ističemo. Bavimo se:
Imamo iskustvo od preko 20 godina. Naši stomatolozi su vrhunski stručnjaci i imaju dugogodišnje iskustvo u svom poslu.
Radimo i estetsku medicinu sa hijaluronima i možete nam se obratiti s poverenjem.
Kod nas možete očekivati najkvalitetniju stomatološku uslugu, obratite nam se s poverenjem!

Pored navedenih usluga nudimo Vam neophodne informacije, obuku, usluge, kao i ozbiljnije intervencije u sklopu kompletnih stomatoloških usluga i to sve po najpovoljnijim cenama u Vršcu.
Smatramo da je naša obaveza kao stručnjaka da Vas informišemo o vrstama usluga, obučimo o pravilima održavanja oralne higijene.
Nove
tehnologije su nam omogućile da lepotu osmeha stvaramo brinući se i o
najsitnijim detaljima i da kontrolišemo svaku promenu. Pored estetskih
vrednosti, ova nega veoma je bitna za celokupno zdravstveno stanje organizma.
Za više informacija pozovite nas na brojeve telefona. Stojimo Vam na raspolaganju.
Imam vizilku sa desne strane nemam 3,4,5 i 6-cu koju je vaš kolega greškom izvadio.Sa leve strane nemam 4, i 5- vi.Donela BiH vizilku da vidite i razgovaramo. Plaća li se konsultacija
Bilo bi mi potrebno jedno plombiranje ili dva pa sam se pitaox da li mogu da zakažem termin ovim putem. Hvala unapred.
Dobar dan! Dali mogu stupiti u kontak sa Dr. Araskov Zoran? Bila sam kod njega pre i mogo sam bila zadovolja sa njegovim radom ! Hvala
Ukoliko ste zainteresovani za proizvode i usluge firme, ostavite upit i dobićete odgovor u najkraćem mogućem roku. Upit će biti vidljiv na portalu
Profesionalne i relaks masaže Ljubovija
Stojana Čupića 9/4, 15320 Ljubovija
Lečenje pasa i mačaka Svilajnac
Kralja Petra Prvog 62, 35210 Svilajnac
Lečenje alkoholizma narkomanije kocke bolesti zavisnosti Beograd
Sazonova 71, 11000 Beograd, Vračar
Oceni preduzeće i napiši svoj utisak o saradnji.