Dental Look posluje od 1995. godine u Vršcu.
Nudimo fiksne proteze i beljenje zuba po najboljim standardima. O kvalitetu rada naše ordinacije najbolje govore mnogi zadovoljni pacijenti. Posetite nas na adresi Anđe Ranković 15/1 i obezbedite sebi najkvalitetniju stomatološku uslugu.

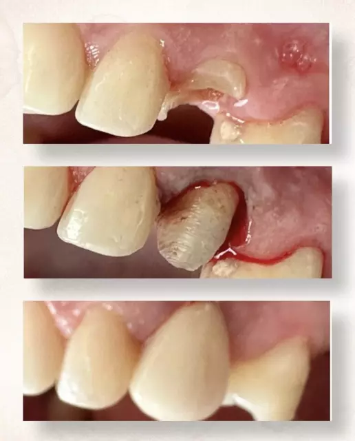
Ako želite najbolje fiksne proteze i beljenje zuba tu smo za Vas! Bavimo se:
Beljenje zuba i skidanje kamenca vršimo preko 20 godina. Radimo i estetsku medicinu sa hijaluronima i možete nam se obratiti s poverenjem.
Ukoliko ste spremni da imate najbolje usluge beljenja zuba i fiksnih proteza, onda smo mi pravi izbor za Vas!
Nove
tehnologije su nam omogućile da lepotu osmeha stvaramo brinući se i o
najsitnijim detaljima i da kontrolišemo svaku promenu. Pored estetskih
vrednosti, ova nega veoma je bitna za celokupno zdravstveno stanje organizma.
Za više informacija pozovite nas na brojeve telefona. Stojimo Vam na raspolaganju.
Ukoliko ste zainteresovani za proizvode i usluge firme, ostavite upit i dobićete odgovor u najkraćem mogućem roku. Upit će biti vidljiv na portalu
Laserska rejuvenacija lečenje stres inkontinencije Beograd Vračar
Kumanovska 23, 11000 Beograd, Vračar
Porodično bračno savetovanje Zrenjanin
Gimnazijska 8, 23101 Zrenjanin
Psihijatrijske ordinacije i dečiji psihijatar Novi Sad
Petra Drapšina 27-29, 21000 Novi Sad
Stomatološka ordinacija Čačak
Cara Lazara 50, stan 1, 32000 Čačak
Izdavanje lekova na recept A blok Novi Beograd
Uroša Martinovića 7 lokal 4, 11070 Beograd, Novi Beograd
Najbolji neuropsihijatri Niš Medijana
Улица Иве Лоле Рибара 16А, 18000 Niš, Medijana
Oceni preduzeće i napiši svoj utisak o saradnji.