Naša firma nudi snimanje zuba. 3 DENTAL RENDGEN CENTAR je firma koja je osnovana 2020. godine. Sedište firme se nalazi u Kruševcu na adresi Jugovićeva bb.
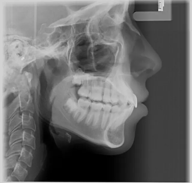
Bavimo se uslužnim snimanjem zuba, a nudimo 2d i 3d snimanje. Raspolažemo najsavremenijom opremom, tako da je kvalitet zagarantovan.

Snimanje zuba po najpovoljnijim cenama u Kruševcu vršimo mi.
Ako Vam treba kvalitetna usluga po najpristupačnijim cenama u ovom poslu, obratite se nama.
Vršimo usluge snimanja zuba u 2d i 3d varijanti. U radu koristimo najprecizniju i najsavremeniju tehnologiju, tako da dobijate kompletan snimak cele vilice ili detaljan snimak konkretnog zuba. Opremom rukuju isključivo naši obrazovani i obučeni stručnjaci, tako da će usluga biti profesionalna i kvalitetna u svakoj situaciji.
Jedini smo u Kruševcu koji imamo i 3d snimanje zuba najnovije dijagnostike firme Kavo.
Usluge pružamo po najpovoljnijim cenama, bez obzira da li se radi o 2d ili 3d snimanju zuba. Ističemo se po kvalitetu i preciznosti usluge.
Snimanje vršimo sa ALARA konceptom doze zračenja (min. doza za pacijenta da se dobije kvalitetan snimak). Pratimo trendove i tu smo da radimo najbolje za naše klijente.
Za više informacija ili za zakazivanje kontaktirajte nas na brojeve telefona: *037/310-27-57* *062/971-46-59*; ili nas posetite lično na navedenoj adresi u Kruševcu.
Za najpreciznije, najkvalitetnije i, što je najvažnije, najpovoljnije snimanje zuba - posetite nas!
Ukoliko ste zainteresovani za proizvode i usluge firme, ostavite upit i dobićete odgovor u najkraćem mogućem roku. Upit će biti vidljiv na portalu
Aparat Bicom optima Beograd
Požeška 58/9 I sprat, 11000 Beograd
Protetika Kruševac
Veselina Nikolića 11, 37000 Kruševac
Najbolja implantologija Sremska Mitrovica
Parobrodska 23, 22000 Sremska Mitrovica
Kompletne stomatološke usluge Novi Beograd Beograd
Улица Грамшијева undefined, 11070 Beograd, Novi Beograd
Oceni preduzeće i napiši svoj utisak o saradnji.