3 DENTAL RENDGEN CENTAR je firma koja je osnovana 2020 godine.
Bavimo se uslužnim snimanjem zuba 2d i 3d po povoljnim cenama. Sedište firme se nalazi u Kruševcu na adresi Jugovićeva bb.
Vodimo računa o zakazanim rokovima i poštujemo sve dogovore.

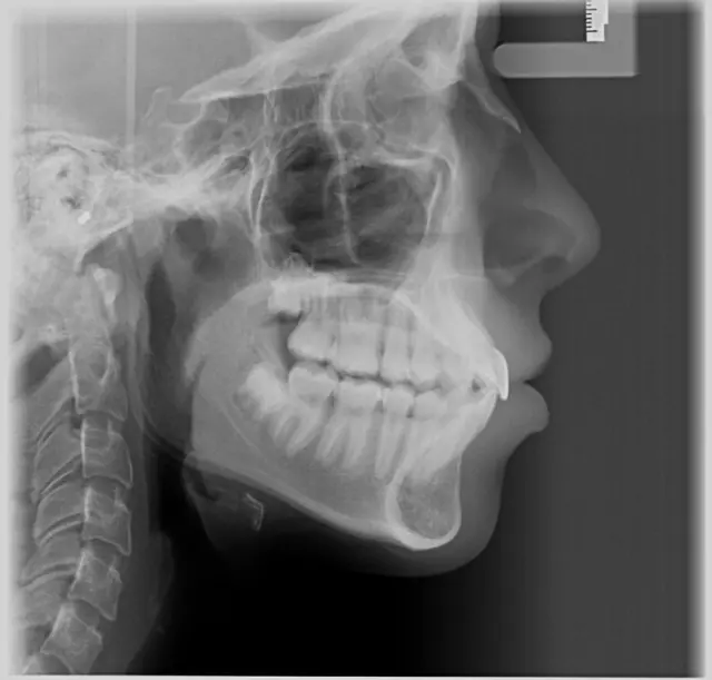
Jedini smo u Kruševcu koji imamo 3d snimanje zuba najnovije dijagnostike firme Kavo. Usluge pružamo po najpovoljnijim cenama kada je snimanje zuba 2d i 3d u pitanju.
Ističemo se po kvalitetu i preciznosti usluge.
Snimanje vršimo sa ALARA konceptom doze zračenja (min. doza za pacijenta da se dobije kvalitetan snimak). Pratimo trendove i tu smo da radimo najbolje za naše klijente.
Uzimajući u obzir Vaše želje i potrebe, izlazimo Vam maksimalno u susret i na taj način realizujemo zahteve svojim stručnim radom.
Za više informacija ili za zakazivanje kontaktirajte nas na brojeve telefona: *037/310-27-57* *062/971-46-59*; ili nas posetite lično na navedenoj adresi u Kruševcu.
Za najpreciznije snimanje zuba - 2d i 3d - posetite nas!
Poštovani molim za cenu zubarka mi traži Ortopan snimak ako sam pravilno rekla
Recite mi koliko kosta mali ortopan za decu ?
Interesuje me koja je cena snimanja cele vilice,svih zuba?
Molim Vas da mi na email pošaljete 3d snimak vilice na ime Minic Iva dete Neophodno mi je Unapred hvala
Ukoliko ste zainteresovani za proizvode i usluge firme, ostavite upit i dobićete odgovor u najkraćem mogućem roku. Upit će biti vidljiv na portalu
Najbolja implantologija Sremska Mitrovica
Parobrodska 23, 22000 Sremska Mitrovica
Kompletne stomatološke usluge Novi Beograd Beograd
Улица Грамшијева undefined, 11070 Beograd, Novi Beograd
Protetika Kruševac
Veselina Nikolića 11, 37000 Kruševac
Aparat Bicom optima Beograd
Požeška 58/9 I sprat, 11000 Beograd
Oceni preduzeće i napiši svoj utisak o saradnji.