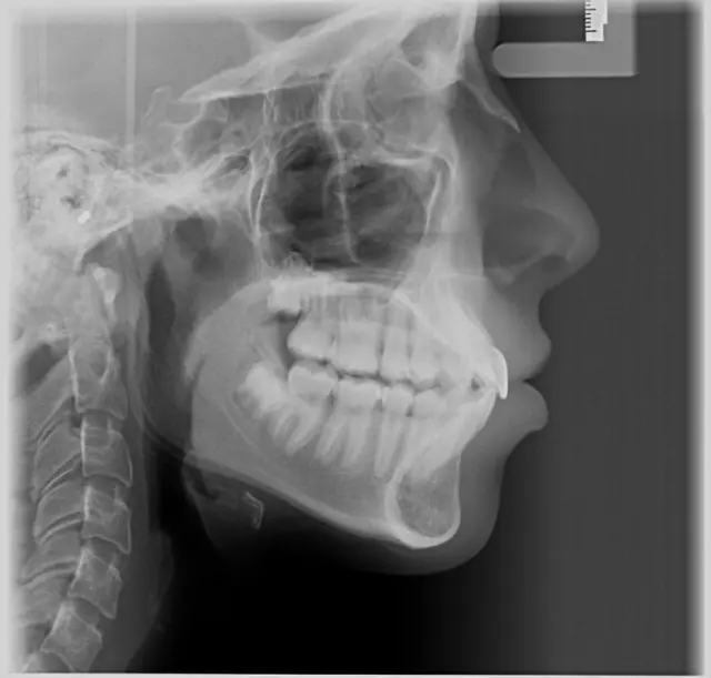
Ukoliko tražite kvalitetno snimanje 2D zuba, na pravom ste mestu!
3 DENTAL RENDGEN CENTAR je firma koja je osnovana 2020. godine.
Bavimo se uslužnim snimanjem zuba, a nudimo 2d i 3d snimanje po povoljnim cenama.
Sedište firme se nalazi u Kruševcu.

Vršimo usluge snimanja zuba u 2d varijanti. U radu koristimo najprecizniju i najsavremeniju tehnologiju, tako da dobijate kompletan snimak cele vilice ili detaljan snimak konkretnog zuba.
Jedini smo u Kruševcu koji imamo i 3d snimanje zuba najnovije dijagnostike firme Kavo.
Usluge pružamo po najpovoljnijim cenama, bez obzira da li se radi o 2d ili 3d snimanju zuba.
Ističemo se po kvalitetu i preciznosti usluge.
Snimanje vršimo sa ALARA konceptom doze zračenja (min. doza za pacijenta da se dobije kvalitetan snimak). Pratimo trendove i tu smo da radimo najbolje za naše klijente.
Uzimajući u obzir Vaše
želje i potrebe, izlazimo Vam maksimalno u susret i na taj način realizujemo
zahteve svojim stručnim radom.
Za više informacija ili za zakazivanje kontaktirajte nas na brojeve telefona: *037/310-27-57* *062/971-46-59*; ili nas posetite lično na navedenoj adresi u Kruševcu.
Za najpreciznije snimanje zuba - 2d - sa minimalnim zračenjem i vrhunskim kvalitetom - posetite nas!
Dobar dan,zanima me koja je cena za snimanje cele vilice?Unapred hvala.
Ukoliko ste zainteresovani za proizvode i usluge firme, ostavite upit i dobićete odgovor u najkraćem mogućem roku. Upit će biti vidljiv na portalu
Luksuzan smeštaj starih lica kućna atmosfera Altina Zemun Beograd
Samaranova 38, 11080 Beograd, Zemun
Dom za odrasle i stara lica Borča
Put za Crvenku, drugi deo br 15, 11060 Borča
Profesionalna veterina Bačka Palanka
Branka Radičevića 7, 22244 Šid, Adaševci
Dom za smeštaj starih lica Zrenjanin
Miletićeva 51, 23000 Zrenjanin
Oceni preduzeće i napiši svoj utisak o saradnji.