Stomatološka ordinacija Voždovac Beograd |
Stomatološka ordinacija Dr Todorović nalazi se na Voždovcu u ulici Vojvode Vlahovića 1, u blizini okretnice 26 u Beogradu.
Vršimo istraživanje problema sa kojim se suočavaju naši pacijenti. Stvorili smo objekat koji prilikom svog rada koristi modernu tehnologiju i metode za lečenje i popravku Vaših zuba. Takođe, u našoj stomatološkoj ordinaciji rade profesionalci kojima je zdrav osmeh najveći prioritet.

Zahvaljujući pouzdanim i sigurnim načinom rada naše stomatološke ordinacije stekli smo poverenje naših pacijenata i danas imamo veliki ugled na koji smo veoma ponosni.
Stručni tim stomatologa svoj rad podredio je poboljšanju Vašeg oralnog zdravlja, kako biste što je moguće duže imali zdrave i estetski lepe zube. Konstantno radimo na tome da podignemo naš rad na viši nivo, kako bi Vama obezbedili perfektnu uslugu, uz najpovoljnije cene.
Stomatološka ordinacija Dr Todorović nudi Vam sledeće usluge:
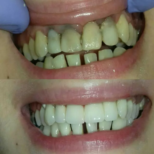
Stomatološka ordinacija Dr Todorović nakon dugogodišnjeg rada na Vojnomedicinskoj akademiji (VMA) nastoji da stvori opuštenu i prijatnu atmosferu, u kojoj naši pacijenti neće osećati strah i nelagodnost pri dolasku i boravku. Budući da je blistav osmeh imperativ modernog doba, posebno mesto u našem radu zauzima estetska stomatologija, odnosno izbeljivanje zuba.
Posebnu pažnju Dr Todorović obraća na sve vrste usluga iz oblasti stomatološke protetike. Kako bi nadomestili postojeće nedostatke, nudimo izradu svih vrsta proteza, a pri radu koristimo vrhunsku kvalitetnu bezmetalnu ili metalnu keramiku.
Individualnim pristupom svakom našem pacijentu omogućavamo da za relativno kratko vreme ima zdrave i lepe zube. Korišćenjem proverenih materijala, garantujemo Vam za kvalitet našeg rada.
Dentalni turizam je novina u Srbiji i podrazumeva putovanje koje će Vam pružiti negu Vaših zuba, po povoljnim cenama van Vašeg doma. Naš tim je tu da Vam izađe u susret i ponudi usluge iz oblasti dentalnog turizma, za kompletnu negu Vaših zuba.

Ako
želite da izvadite zub, ugradite implant, izbelite zube na bezbedan način i
kvalitetno ili da se jednostavno rešite problema bezbolnim putem, novom
laserskom tehnologijom, potrebno je da dođete na prvi pregled i posavetujete sa
našim stručnim stomatolozima u stomatološkoj ordinaciji Dr Todorović na Voždovcu.
U
opšte stomatološke usluge naše stomatološke ordinacije na Voždovcu spadaju:
Pored navedenih usluga, u stomatološkoj ordinaciji na Voždovcu, nudimo Vam neophodne informacije, obuku, usluge, kao i ozbiljnije intervencije. Smatramo da je naša obaveza kao stručnjaka da Vas informišemo o vrstama usluga, obučimo o pravilima održavanja oralne higijene.
Nove
tehnologije u stomatološkoj ordinaciji na Voždovcu su nam omogućile da lepotu osmeha stvaramo brinući se i o
najsitnijim detaljima i da kontrolišemo svaku promenu. Pored estetskih
vrednosti, ova nega veoma je bitna za celokupno zdravstveno stanje organizma.
Siguran put do Vašeg prelepog osmeha. Vikendom radimo na zakazivanje. Stomatološka ordinacija Dr Todorović Voždovac - Vama na usluzi.
Ukoliko ste zainteresovani za proizvode i usluge firme, ostavite upit i dobićete odgovor u najkraćem mogućem roku. Upit će biti vidljiv na portalu
Nakon sto sam juce po treci put bio u ordinaciji kod dr Todorovica, i po treci put bio odusevljen, moram javno da podelim svoje utiske. Zahvaljujuci prijatnosti, srdacnosti i profesionalnosti ovog coveka, savladao sam jaku visegodisnju fobiju koju sam imao od zubara. Covek je izuzetno strpljiv i sa punom paznjom vam objasnjava sve sto radi, korak po korak. Povrh svega, cene su vise nego pristupacne, mozda cak ispod nekog beogradskog proseka.
Oceni preduzeće i napiši svoj utisak o saradnji.
Mirko
Izuzetan strucnjak
Nakon sto sam juce po treci put bio u ordinaciji kod dr Todorovica, i po treci put bio odusevljen, moram javno da podelim svoje utiske. Zahvaljujuci prijatnosti, srdacnosti i profesionalnosti ovog coveka, savladao sam jaku visegodisnju fobiju koju sam imao od zubara. Covek je izuzetno strpljiv i sa punom paznjom vam objasnjava sve sto radi, korak po korak. Povrh svega, cene su vise nego pristupacne, mozda cak ispod nekog beogradskog proseka.